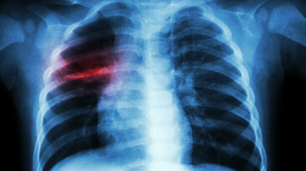
Le 24 mars, En prélude à la Journée mondiale de lutte contre la tuberculose prévue le 24 mars, le coordonnateur du Programme national de lutte contre la tuberculose (PNT), Fodé Danfakha, a fait le point sur la situation de la maladie au Sénégal. Selon ses déclarations, l’année 2024 a enregistré un total de 16 595 cas de tuberculose, toutes formes confondues. Parmi ces cas, une prédominance masculine est à noter, avec 11 181 hommes contre 5 414 femmes touchés par la maladie. Fodé Danfakha a souligné que la tuberculose touche principalement les adultes jeunes. Cette tranche d’âge représente une grande partie de la population active. Ce qui soulève des préoccupations au-delà des enjeux de santé publique. « Cela va avoir un impact socio-économique sur la vie de ces populations. Ce sont des gens qui sont en activité. Cette maladie va impacter leur vie ainsi que leur travail », a-t-il déclaré, soulignant l’importance de la prévention et de la prise en charge rapide de la maladie. La tuberculose demeure un problème majeur de santé publique au Sénégal. Et cette situation met en lumière les défis à relever pour mieux lutter contre la propagation de cette maladie, en particulier chez les jeunes adultes. Selon Dr Danfakha, l’impact de la tuberculose ne se limite pas à la santé des individus, mais se répercute également sur l’économie. Car les malades, souvent en âge de travailler, sont contraints de suspendre leurs activités, ce qui affecte leur productivité et leur bien-être.

Laisser un commentaire

Votre adresse e-mail ne sera pas publiée. Les champs obligatoires sont indiqués avec *